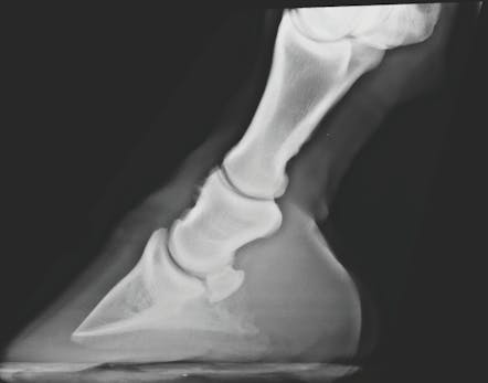
horses long pastern bone info...

The long pastern bone, also known as the middle phalanx or P2, is one of the three phalanges (toe bones) in a horse's lower limb. Here are five key pieces of information about a horse's long pastern bone:
- Anatomy:
The long pastern bone is the second phalanx in a horse's digit and is situated between the short pastern bone (the proximal phalanx or P1) and the coffin bone (the third phalanx or P3). It is a relatively long and slender bone located above the hoof and below the fetlock joint.
- Function:
The long pastern bone, along with the short pastern bone and coffin bone, plays a crucial role in supporting the horse's weight and facilitating movement. These three phalanges work together to allow proper flexion and extension of the limb during locomotion.
- Injuries:
The long pastern bone can be susceptible to injuries, particularly fractures. Fractures can result from traumatic events, overexertion, or other factors and can lead to lameness and pain in the affected limb.
- Veterinary Examination:
When a horse displays signs of lameness in the lower limb, particularly in the area of the long pastern bone, a veterinarian should be consulted for a thorough examination and diagnosis. Diagnostic tools like X-rays may be used to assess the condition of the long pastern bone.
- Treatment and Rehabilitation:
The treatment for long pastern bone injuries will depend on the location and severity of the fracture. It may involve rest, immobilisation, or surgical repair. After treatment, a rehabilitation plan is often necessary to help the horse regain strength and mobility in the affected limb.
Proper care and management of the long pastern bone, as well as the entire limb, are essential for a horse's overall well-being and performance. Regular veterinary care, preventive measures, and early intervention in case of injuries are crucial for maintaining a horse's lower limb health.


